This baby is really going to be tired of hearing about this one for the rest of its life.
On Thursday, Sara was walking to get the kids at school when she stepped on some loose gravel while crossing the street. Her foot twisted under her, and she fell to her hands and knees. She called me right after and said that it hurt pretty bad, but we both assumed it was just a twisted ankle. She could still walk on it, even though it hurt pretty badly, so we decided to just kind of wait and see what happened.
So she finished the walk to school, picked up the kids, and walked home.
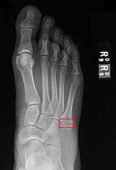
That night she was certainly having a lot of trouble hobbling around, and cried out a few times from pain, but she didn’t even take any Tylenol or anything. Even though it didn’t swell that much, we were still certain it was a sprain. In retrospect, all of the bruising and pain were localized to a *very specific* part of the foot, but hindsight is 20/20.
Anyway, the next morning it didn’t seem much better, so she called first thing for a doctor’s appointment. She was on hold for 30 minutes, and by the time they answered, there were no appointments left. She also tried to page her doctor, but didn’t get a call back. “Oh well,” she decided. “I guess I’ll just stay off it over the weekend and see if it’s better by Monday.”
Her doctor finally called back 7 hours later and said she would take a look if Sara could come over right away (good thing she works at the hospital!). They decided to do x-rays, but didn’t think they’d be able to read them until the next day, so Sara started walking home. When she was halfway home, the doctor called back and said, “Your foot is broken, you have to come back to the hospital!”
So she turned around and walked back.
We figured out later that between when she fell (about 3 p.m. on Thursday) and when it was diagnosed (about 5:30 p.m. on Friday), she walked about 5 miles on it.
That’s totally worse than walking uphill both ways to school.
The doctor said 6 – 8 weeks for the boot, which means it won’t be off before the baby is born. I’m not sure why adding a broken foot makes labor seem that much worse, but labor with a broken foot just seems that much worse.
The main problem is that Sara walks *everywhere*, and we’re pretty dependent on that to get around. She has the car now, but it doesn’t really help; we can’t really park closer to work or school than our house anyway (this is assuming that Sara is even able to drive). So the next couple of weeks just got a bit trickier.
Let no one say that Sara doesn’t like a challenge!


Pingback: The case of the missing heat | Is this thing on?